產品簡介
本產品為預混的含有優化濃度的 GenStar 高純度 Taq DNA Polymerase、dNTPs、Mg2+、反應緩沖液和穩定劑等成分的 2 倍濃度的即用型 PCR 試劑。使用時只需加入 DNA 模板和引物,并用水補足體系至反應濃度(1×)。本產品具有使用方便、靈敏度高、擴增性能強、穩定性好等優點,可最大限度地減少人為誤差、節約操作時間、降低污染幾率,適合大規模基因檢測、快速克隆篩選、半定量 PCR 實驗和微量 DNA 模板的檢測等。PCR 產物的 3’端附有一個突出的"A"堿基,純化后可直接用于 T 載體克隆。PCR 擴增產物不推薦用于聚丙烯酰胺凝膠電泳。
本產品有含染料(紅色)和不含染料(無色)兩種選擇。使用含染料的產品在 PCR 反應完成后,不需添加上樣緩沖液即可直接上樣進行電泳;也可經過純化處理,以用于酶切、連接、熒光測序等后續操作。
產品組分
| 組分貨號 | 組分名稱 | A012-01 | A012-10 | A012-100 | A012-505 |
|---|---|---|---|---|---|
| ZA012-101 | 2×Taq PCR StarMix (Dye) | 1 ml | 1 ml×10 | 1 ml×100 | 5 ml×5 |
| ZA129-101 | Sterile Water | 1 ml | 1 ml×10 | 1 ml×100 | 5 ml×5 |
保存條件
-20℃ 保存,保質期 24 個月,避免反復凍融。如經常使用,可置于 4℃ 保存至少 6 個月。
產品變更
該產品原英文名稱為:2×Taq PCR StarMix with Loading Dye,原中文名稱為:2× 含染料 Taq 預混 PCR 反應體系。自 2022.4.12 起變更為現用名。
數據展示
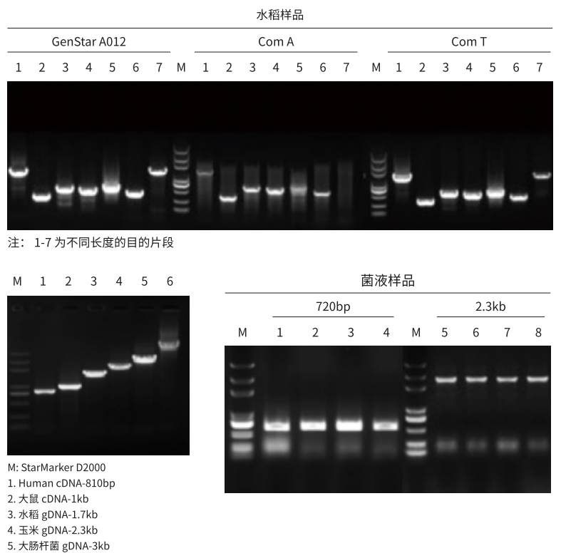
1.擴增效率高
A012 適用性廣泛,不同來源、不同長度模板擴增效率均很高

相關產品推薦
請按照實際實驗情況進行使用,如有疑問,請聯系您的業務員或致電技術支持熱線400-666-3332撥2